Table of Contents
Lung cancer screening in Rockford IL is a fast, painless, and effective way to protect your health. At Rockford Pulmonary Clinic, our quick 5-minute low-dose CT scan helps detect lung cancer early when treatment is most effective.
When it comes to lung cancer, every minute counts. A simple test could mean the difference between early detection and late diagnosis. That’s why lung cancer screening in Rockford IL has become a life-saving option for individuals at risk—providing peace of mind through advanced, early detection technology.
At Rockford Pulmonary Clinic, we believe in empowering you to take charge of your health. That’s why we want you to understand just how game-changing this simple screening can be, and why it might be the most important five minutes you’ll ever spend. Our low-dose CT (LDCT) test takes just minutes yet offers powerful early detection helping identify lung cancer before symptoms appear.
The Reality of Lung Cancer: Why Lung Cancer Screening Matters
Lung cancer remains the leading cause of cancer deaths in the U.S., claiming more lives than breast, colon, and prostate cancers combined. But here’s what most people don’t realize: when caught early, lung cancer is highly treatable. The five-year survival rate jumps to an impressive 60-65% when detected before it spreads: a stark contrast to the much lower rates when found in later stages.
The challenge? Lung cancer is notoriously silent in its early stages. Most people experience no symptoms until the disease has already advanced, which is why proactive lung cancer screening in Rockford IL is essential for at-risk individuals.

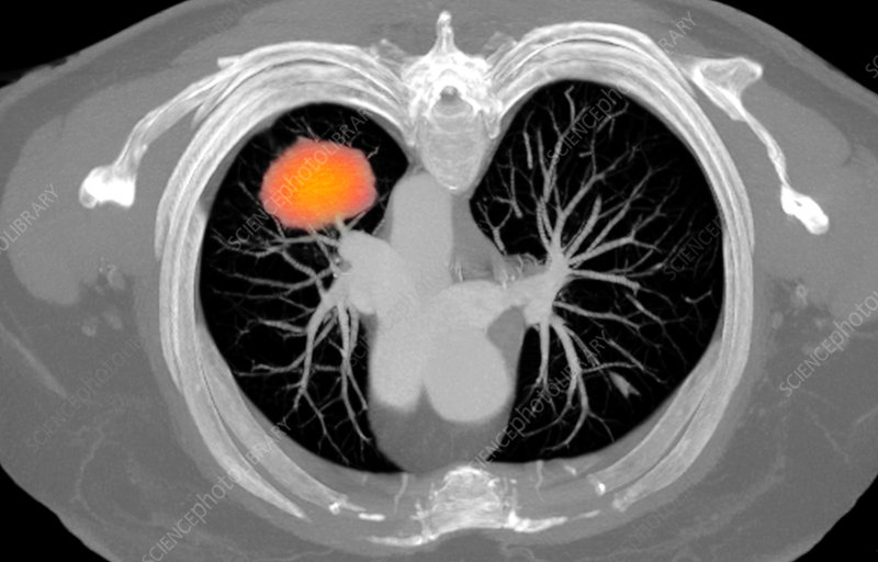
What is Lung Cancer Screening?
Lung cancer screening is a preventive health measure designed to detect lung cancer before symptoms appear. The gold standard for screening is a low-dose CT scan (LDCT), a specialized imaging test that takes detailed pictures of your lungs using minimal radiation: significantly less than a standard CT scan.
This isn’t your typical X-ray. While chest X-rays can miss early-stage tumors, low-dose CT scans can detect nodules as small as a grain of rice, catching potential cancers when they’re most treatable.
Key benefits:
Early detection when treatment is most effective
Quick, painless, and non-invasive
Minimal radiation exposure
No special preparation or recovery time
The Simple 5-Minute Test That Changes Everything
Here’s what makes lung cancer screening in Rockford IL so accessible: the actual test takes just about five minutes of scanning time. You’ll lie on a comfortable table that slowly moves through the CT scanner while holding your breath for short intervals: typically 15-20 seconds at a time.
What to expect during your screening:
- No preparation required – no special diet, no contrast dye, no needles
- Fully clothed – you’ll simply remove any metal objects like jewelry or belts
- Comfortable positioning – lying on your back on a padded table
- Quick and painless – the entire process, including preparation, takes less than 15 minutes
- No recovery time – you can return to your normal activities immediately
The sophisticated imaging technology captures hundreds of cross-sectional images of your chest, which are then analyzed by specialist radiologists trained in detecting early lung abnormalities.
Who Should Get Screened?
Lung cancer screening isn’t for everyone: it’s specifically designed for people at higher risk. You may be a candidate if you:
- Are between ages 50-80
- Have a significant smoking history (equivalent to one pack per day for 20 years)
- Currently smoke or quit within the past 15 years
- Are in generally good health
Even if you’ve quit smoking years ago, your risk remains elevated, making screening particularly valuable. Former smokers often benefit tremendously from regular screening, as their lung tissue may still harbor early changes that could develop into cancer.

Why Choose Rockford Pulmonary Clinic for Your Screening?
When it comes to pulmonology in Rockford IL, Rockford Pulmonary Clinic stands apart through our commitment to personalized, compassionate care. Led by board-certified pulmonologist Dr. Tabassum Nafsi, our clinic combines cutting-edge technology with a warm, welcoming approach that puts patients first.
What sets us apart:
- Direct access to specialists – no lengthy referral process or insurance red tape
- Transparent pricing – upfront costs with no hidden fees or surprise bills
- Flexible scheduling – convenient appointment times that work with your life
- Comprehensive follow-up – if abnormalities are found, we guide you through every step
- Telemedicine options – serving patients throughout Illinois and Wisconsin
- Insurance-friendly – we work with Medicare and most insurance plans, plus cash-pay options
Dr. Nafsi’s philosophy centers on building direct relationships with patients, ensuring you receive personalized attention rather than feeling like just another number in a large healthcare system.
The Life-Saving Impact of Early Detection
The statistics speak for themselves: early detection through screening can improve survival rates by up to 60%. When lung cancer is caught in Stage I (before it spreads), treatment options are less invasive, recovery times are shorter, and outcomes are dramatically better.
Consider these benefits of early detection:
- Less invasive treatment options – potentially avoiding major surgery
- Shorter recovery times – getting back to your life faster
- Better quality of life during and after treatment
- Lower healthcare costs – early treatment is typically less expensive
- Peace of mind – knowing you’re being proactive about your health
Beyond Screening: Comprehensive Pulmonary Care
While lung cancer screening is crucial, Rockford Pulmonary Clinic offers comprehensive respiratory care for our community. Whether you need asthma treatment in Rockford IL, COPD management, or evaluation of breathing difficulties, our clinic provides the expertise and compassionate care you deserve.
Our comprehensive services include:
- Advanced diagnostic testing
- Sleep disorder evaluation
- Pulmonary function testing
- Bronchoscopy procedures
- Treatment for respiratory infections
- Smoking cessation support
- Occupational lung disease evaluation
Taking the Next Step: How to Schedule Your Screening
Empowering yourself with lung cancer screening is simpler than you might think. At Rockford Pulmonary Clinic, we’ve eliminated the barriers that often prevent people from getting screened.
To get started:
- Schedule a consultation – we’ll review your health history and determine if screening is right for you
- Insurance verification – we handle the paperwork and confirm your coverage
- Quick screening appointment – typically scheduled within days, not weeks
- Fast results – detailed imaging results with clear explanations
- Personalized follow-up plan – whether results are normal or require additional attention
Ready to breathe easier? Contact Rockford Pulmonary Clinic today to discuss lung cancer screening. Our team is here to answer your questions, explain the process, and help you take this important step toward protecting your health.
Want to understand how low-dose CT lung cancer screening works? Visit the CDC Lung Cancer Screening Guide for more information.
Your Health, Your Choice, Your Future
In our community-based practice, we see firsthand how early detection changes lives. That simple five-minute test could be the most important decision you make for your health this year. Don’t wait for symptoms to appear: by then, precious time may have been lost.
Lung cancer screening in Rockford IL is available, accessible, and potentially life-saving. Whether you’re a current smoker concerned about your risk, a former smoker wanting peace of mind, or someone with a family history of lung cancer, screening could provide the early warning that makes all the difference.
Take charge of your respiratory health today. Your lungs: and your loved ones: will thank you for it.
Ready to schedule your lung cancer screening? Contact Rockford Pulmonary Clinic at your convenience. We’re here to support you every step of the way, providing the expert pulmonary care our Rockford community deserves.